
一般情况
| 品种 | 拉布拉多犬 |
| 年龄 | 3岁 |
| 性别 | 雄 |
| 是否绝育 | 未知 |
| 诊断 | 梭形细胞脂肪瘤 |
01 主诉及病史
因臀部皮下肿块持续增大2个月就诊。
02 检查
体格检查、全血细胞计数及生化均无异常。该肿块无痛、最大径约6 cm,边界清晰、质地柔软。
对臀部肿块进行了超声及细针穿刺。超声显示肿块呈混杂回声;涂片可见明显闪亮油滴及血液。
风干涂片分别用Hemacolor和油红O染色。标本细胞量中等,伴轻度血污染。涂片主要由成熟脂肪细胞及梭形至星形细胞混合组成(图1A)。可见含血管、呈三维团块结构的单空泡脂肪细胞(图1A)。胞质空泡油红O染色阳性(图1B)。梭形细胞成簇分布于成熟脂肪细胞旁(图1C-D),常与粗大胶原纤维或毛细血管相邻,少数孤立存在(图1E-F)。梭形细胞黏附性弱,胞质淡蓝,偶见边缘清晰的小空泡,更少见粉红色胞质小体(图1C-D)。
细胞核多形性明显,形态从尖细到圆或椭圆,少数不规则,直径10–16 µm,染色质呈网状;核仁不明显或可见单个细小核仁,极少见核内假包涵体。亦可见双核及多核细胞,核呈半圆形排列伴轻度核异型(图1D)。在某些细胞群中,可见黏液样基质与梭形细胞交织。未见核分裂象或坏死。极少数多空泡的脂母细胞样细胞散在于成熟脂肪细胞之间(图1G)。还可见大量吞噬脂质(脂噬细胞)和/或吞噬红细胞的泡沫样巨噬细胞(含铁血黄噬细胞)。

图1. (A) Hemacolor染色:成熟脂肪组织团块与梭形细胞混杂,分布于纤维黏液样血管基质中。(B) 油红O染色:脂肪空泡被油红O染成红色。(C) Hemacolor染色:成熟脂肪细胞与黏附性弱、形态温和的梭形至星形细胞混合。(D) Hemacolor染色:梭形细胞胞质含小空泡,核增大;可见一多核细胞,核呈半圆形排列(箭头)。(E-F) Hemacolor染色:透明嗜酸性胶原纤维(箭头)与脂肪细胞及梭形细胞紧密相邻。(G) Hemacolor染色:成熟脂肪细胞伴纤细毛细血管及一多空泡脂母细胞样细胞(箭头)。
上述结果提示为脂肪源性肿瘤,如梭形细胞脂肪瘤,尽管仍不能完全排除低度恶性软组织肉瘤。建议行广泛切除手术。
03 治疗
臀部肿块被手术切除。侧缘边界清晰,但与下方骨骼肌紧密粘连,并延伸至深部手术切缘。修整过程中可见一大小为20×15×8 cm³的淡棕褐色肿块,具有实性区域、多分叶状叶样区域及乳头状结构。
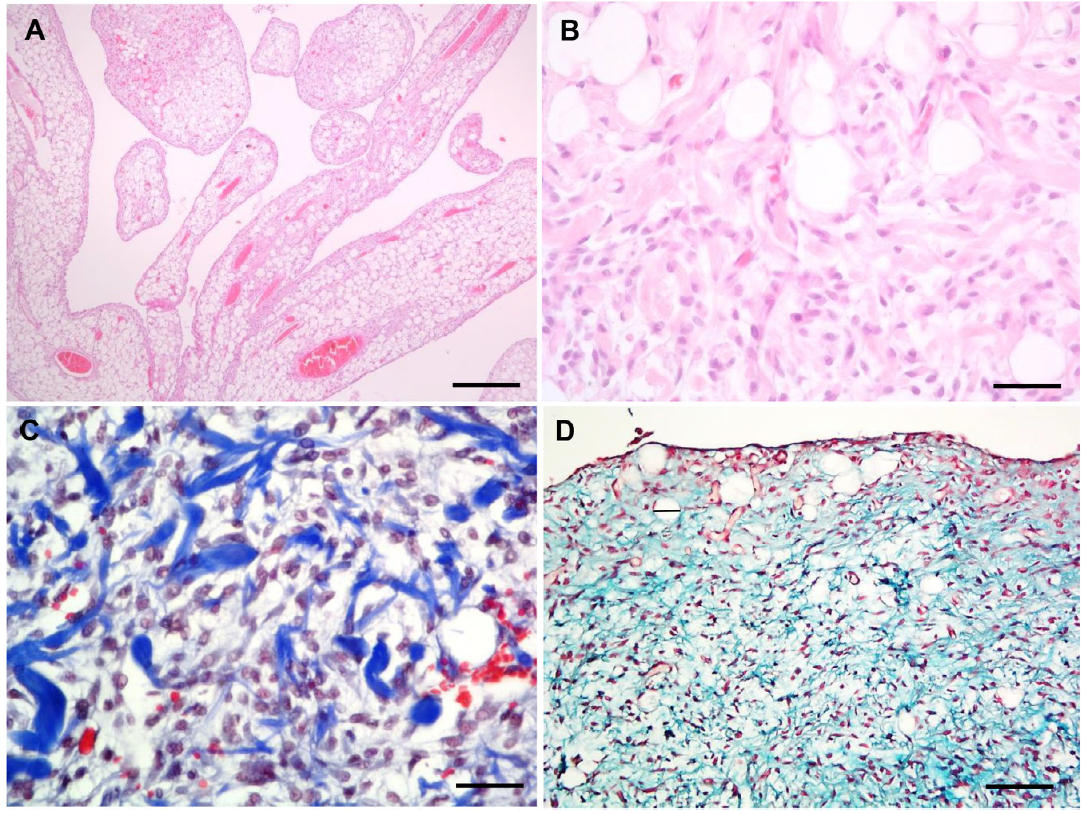
组织学检查显示,肿瘤部分有边界但无包膜,呈多叶状,并延伸至深部手术切缘。肿瘤由70%分化良好的脂肪组织构成,排列成小叶,局灶形成乳头状突起(图2A);乳头中心为纤细的纤维血管轴心,外围混有脂肪细胞及成簇的非黏附性梭形细胞(图2A)。乳头柄内可见中等大小血管,部分管腔含血液或未机化的纤维蛋白血栓,该细胞成分未见核分裂象。其余30%肿瘤由平行束状或杂乱排列的梭形细胞组成,主要位于小叶及乳头周边,并与众多小血管混杂。
梭形细胞最大径20–25 µm,核质比中高,胞质少至中等、嗜酸性;核呈尖细至卵圆形、偏位,直径约15 µm,染色质颗粒状,偶见单个不明显核仁(图2B)。可见轻度细胞大小不等及核大小不等。在增殖活跃区,10个高倍视野内可见4个核分裂象。梭形细胞间偶见胎儿样脂肪细胞。间质中可见数量不等的粗胶原束及黏液样细胞外基质,分别经Masson三色和Alcian蓝染色证实(图2C-D)。亦可见中等量含棕褐色颗粒(含铁血黄素)的巨噬细胞,伴多灶性微出血及偶见肥大细胞。

图2. (A) H&E染色:乳头状结构,内含多量血管,周围梭形细胞呈栅栏状排列。(B) H&E染色:单空泡成熟脂肪细胞与梭形细胞同时存在。(C) Masson三色染色:梭形细胞群与粗胶原纤维混杂。(D) Alcian蓝染色:黏液样基质被染色突出。
为进一步明确梭形细胞群性质,进行了免疫组化检测。所有肿瘤细胞均强阳性表达波形蛋白(图3A)。α-平滑肌肌动蛋白抗体仅染血管壁(内对照),梭形细胞及脂肪细胞均为阴性(图3B)。梭形细胞对广谱细胞角蛋白、S-100及内皮标志物(FVIII和CD31)均呈阴性(图3C-D);后二者仅染肿瘤内血管(内对照),并显示乳头外周小血管分布。成熟脂肪细胞波形蛋白阳性,但对α-平滑肌肌动蛋白、FVIII及CD31均为阴性。最终组织病理学诊断为梭形细胞脂肪瘤。

图3. (A)血管周围肿瘤性梭形细胞和脂肪细胞的细胞质中存在强烈且弥漫性的波形蛋白表达。 (B)梭形细胞对肌动蛋白呈阴性,与血管的肌层呈阳性形成对比。 (C)梭形细胞对CD31呈阴性,与毛细血管内皮细胞的阳性形成对比。 (D)梭形细胞未观察到内皮细胞标记物FVIII的免疫标记。
04 预后
手术伤口通过二期愈合,形成肉芽组织。
2年后,未报告局部复发或远处转移的迹象。
05 讨论
梭形细胞脂肪瘤是一种罕见的良性脂肪源性肿瘤,最早在人类中被描述,属于脂肪瘤的变异型之一。其组织学特征为成熟的脂肪组织与梭形细胞共存,梭形细胞通常嵌入在富含胶原纤维和黏液样基质的背景中。该肿瘤多见于皮下组织,生长缓慢,边界清楚,极少复发或转移。
在人类医学中,梭形细胞脂肪瘤与多形性脂肪瘤被认为是同一疾病谱系的不同表现,二者在细胞形态上可能存在重叠。然而,在兽医领域,关于犬类梭形细胞脂肪瘤的报道极为稀少,此前仅有少数组织学病例报告,尚未见细胞学特征的系统性描述。
本病例为一只3岁雄性拉布拉多犬,表现为臀部皮下缓慢增大的肿块,超声检查提示为异质性团块。细针穿刺细胞学检查显示,标本中可见大量成熟脂肪细胞与少量梭形细胞混合存在,背景中可见粗大胶原纤维、黏液样基质及毛细血管结构。梭形细胞形态温和,核轻度多形,偶见多核细胞,未观察到核分裂象或坏死。油红O染色证实细胞质内脂滴存在,支持脂肪来源。
组织学检查进一步证实肿瘤由约70%成熟脂肪组织和30%梭形细胞构成,梭形细胞排列成束状或散在分布,间质中可见大量“绳状”胶原纤维和黏液样物质。免疫组织化学染色显示梭形细胞表达波形蛋白,但无肌肉、神经或内皮标志物表达,支持其纤维母细胞或间充质来源。
本病例的独特之处在于其乳头状结构的出现,这在犬脂肪瘤中极为罕见,类似结构在人类中可见于关节脂肪瘤或树枝状脂肪瘤,可能与肿瘤生长过程中对筋膜间隙的适应性改变有关。
此外,细胞学中观察到的多核细胞(核呈花环状排列)提示该肿瘤可能与人类多形性脂肪瘤存在形态学上的连续性,进一步支持梭形细胞脂肪瘤与多形性脂肪瘤可能为同一肿瘤谱系的不同表现。
总之,本研究首次详细报道了一例犬类梭形细胞脂肪瘤的细胞学、组织学及免疫表型特征,填补了这一罕见疾病在兽医细胞学领域的空白。该病例提示,在面对犬皮下肿块时,若细胞学检查发现成熟脂肪细胞与梭形细胞共存,并伴有粗大胶原纤维和黏液样基质,应考虑梭形细胞脂肪瘤的可能,避免误诊为低度恶性软组织肉瘤。
尽管细胞学无法作为最终诊断的唯一手段,但其在初步筛查和方向性判断中具有重要价值。对于此类良性病变,早期准确诊断可避免不必要的广泛手术切除,减轻动物痛苦及主人经济负担。未来应进一步积累病例,探索其免疫表型特征(如CD34表达)及分子机制,以完善对该疾病的认识。
文献来源:Santos M, Marcos R, Oliveira J, Avallone G. Cytology and Differential Diagnosis of Canine Spindle Cell Lipoma. Vet Med Sci. 2025 Nov;11(6):e70587.