
一般情况
| 品种 | 短毛猫 |
| 年龄 | 3.9岁 |
| 性别 | 雄 |
| 是否绝育 | 是 |
| 诊断 | 肾型淋巴瘤 |
01 主诉及病史
因前腹巨大肿物被转诊。主人诉近两周食欲减退、精神沉郁。
02 检查
除中前腹可触及占据腹腔三分之二的巨大肿物外,余无异常。血常规、全套生化及尿蛋白/肌酐比均未见明显异常;猫免疫缺陷病毒和白血病病毒均为阴性。
胸腹CT血管造影显示左肾显著增大,约80×65×90 mm,结构明显变形,皮髓质分界消失,呈巨大分叶状膨胀性改变(图1);肿物效应致小肠严重右移,脾脏向前左侧卷曲移位。右肾轻度增大,长约50 mm,皮髓质内见多个膨胀性圆形病灶。其余CT表现无异常。

图1. 软组织窗CT扫描(左冠状面、右轴面)。左肾显著增大,约80×65×90 mm,结构明显变形,皮髓质分界消失,呈巨大分叶状膨胀性改变。皮质及髓质对比增强减弱,而组织不规则外周缘对比增强增强。其中心仍保留类似肾盂的区域,可见左肾动、静脉进入,但无对比剂积聚。左肾产生占位效应,致肠管严重右移;脾脏向前左侧卷曲移位。右肾轻度增大,长约5 cm,皮髓质内见数个膨胀性圆形病灶,轻度扭曲肾外形;平扫时与髓质密度相近(约40 HU),但增强后对比增强明显降低。
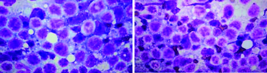
超声引导下左肾肿物细针穿刺提示大细胞淋巴瘤(图2)。

图2. 左肾肿物细针穿刺,100×镜下可见细胞量丰富,含有大量大淋巴细胞,其大小为中性粒细胞的2-3倍。淋巴细胞群以胞浆稀少、深染的大淋巴细胞为主,部分细胞胞浆内可见细小透明空泡。核圆形,染色质呈细网状,可见1个或多个明显核仁。未见正常肾组织,亦无炎症或感染迹象。组织中大型淋巴细胞占优势,符合大细胞淋巴瘤表现。
03 治疗
采用环磷酰胺、长春新碱、泼尼松龙和长春碱(COVP)方案治疗,该方案为COP方案加用长春碱的改良方案。COVP方案第二周即达到完全缓解,整个化疗期间未出现明显化疗相关不良反应。
化疗开始20周后,在长春新碱联合环磷酰胺维持注射阶段,患猫出现厌食和精神沉郁。检查可见中度呼吸困难伴矛盾呼吸,体温40°C。血液检查示轻度非再生性贫血25.3% [30.3–52.3]、中性粒细胞增多22.35×10⁹/L [2.30–10.29]及轻度高球蛋白血症54 g/L [28–51]。
胸部X光片显示大量胸腔积液。立即进行胸腔穿刺放液,并将积液送检。液体分析提示为渗出液,蛋白含量高,背景呈蛋白样,伴中性粒细胞及巨噬细胞炎症;细菌需氧培养阴性。积液PCR检测猫冠状病毒呈阳性。
此时行心脏超声及腹部超声检查,未发现可致充血性心衰的心肌病,亦未见淋巴瘤复发征象。结合血液检查、积液分析及超声排除其他异常,确诊为猫传染性腹膜炎(FIP)。
在等待FeCoV PCR结果期间,先予地塞米松0.2 mg/kg静脉注射,每24小时一次。初期症状短暂改善后,胸腔积液2日后再现,再次行胸腔穿刺放液。
PCR确诊FIP后,改为每日皮下注射GS-441524,剂量10 mg/kg,持续12周。主人仅报告注射时轻度不适及局部刺激。确诊FIP后即停用地塞米松,改用核苷类似物。
04 预后
使用GS-441524后临床症状显著改善,并于1、3、6、12个月复查时均未发现异常。
至本文撰写时,距大细胞肾淋巴瘤初次诊断已近5年,患猫状态良好,无淋巴瘤及FIP复发征象。
05 讨论
猫肾型淋巴瘤是猫淋巴系统恶性肿瘤中较为罕见的一种亚型,仅占所有猫淋巴瘤的约3.6%。该病多见于中老年猫,平均发病年龄为11岁,而幼年猫罹患肾型淋巴瘤的情况极为罕见。
肾型淋巴瘤可表现为单侧或双侧肾脏肿大,临床症状包括多饮、多尿、体重减轻、厌食等非特异性表现,部分病例可触及腹部肿块。超声检查常显示肾脏形态异常,如皮质回声增强、髓质环征、肾盂扩张等。细针穿刺细胞学检查是确诊的重要手段,可见大量大淋巴细胞,具有明显核仁和不典型核形。
本病例中,一只3.9岁雄性已绝育短毛猫因食欲减退和嗜睡就诊,经影像学检查发现左肾巨大肿块,细胞学确诊为大型细胞性肾型淋巴瘤。
采用改良型COVP化疗方案(环磷酰胺+长春新碱+泼尼松龙+长春碱)后,肿瘤完全缓解,未见明显副作用。然而,在化疗后约20周,猫出现发热、胸腔积液等症状,经胸腔液PCR检测确诊为猫传染性腹膜炎(FIP),遂给予核苷类似物GS-441524皮下注射治疗12周,病情迅速好转,至今已近5年未复发。
本病例的特殊之处在于,它是首例报道的猫在成功治疗肾型淋巴瘤后继发FIP的病例。FIP是由猫冠状病毒(FCoV)突变株引起的免疫介导性疾病,传统上被认为预后极差。
近年来,随着核苷类似物如GS-441524和瑞德西韦的应用,FIP的治愈率显著提高,长期缓解甚至完全治愈的案例逐渐增多。本病例中,GS-441524治疗FIP后,猫未出现复发,提示该药物在FIP治疗中的长期有效性。
值得注意的是,肾型淋巴瘤的预后通常较差,文献报道中位生存期仅为203天,超过2年存活的病例极为罕见。而本病例中,猫不仅成功控制了淋巴瘤,还在继发FIP后获得长期生存,提示在特定条件下,年轻猫对多重复合疾病的耐受性和治疗反应可能优于老年猫。
此外,化疗可能导致免疫抑制,从而增加FIP发生的风险。已有研究指出,免疫抑制状态可能诱发潜伏的FCoV突变,进而发展为FIP。因此,在接受化疗的猫中,应密切监测是否出现FIP相关症状,尤其是在治疗后期或停药后阶段。
综上所述,本病例展示了猫肾型淋巴瘤与FIP两种严重疾病在同一动物体内先后发生并成功治疗的罕见情况。它不仅提示了年轻猫对高强度治疗的良好耐受性,也强调了长期随访的重要性。
未来应进一步研究化疗与FIP发生之间的潜在关联,以及如何在免疫抑制治疗中预防FIP的发生。同时,本病例也再次证实了GS-441524在FIP治疗中的显著疗效,为该病的临床管理提供了宝贵经验。
文献来源:Beekhuis I, Serrano G, Almendros A, Giuliano A. Successful treatment and long-term follow-up of a young cat with feline infectious peritonitis and renal lymphoma. Open Vet J. 2025;15(10):5383-5390.