
一般情况
| 品种 | 澳大利亚梗 |
| 年龄 | 10岁 |
| 性别 | 雄 |
| 是否绝育 | 是 |
| 诊断 | 胃食管套叠 |
01 主诉及病史
在一次干呕和虚脱发作后被送至初级诊所。
它当时像是要呕吐般地干呕,随后慢慢倒卧成仰卧位,但一旦被主人抱起便迅速恢复正常。该犬有慢性淋巴浆细胞性鼻炎、干燥性角膜结膜炎和干性鼻泪管炎的病史。
针对上述疾病,曾接受多种药物治疗,包括抗菌药物、抗组胺药、口服匹罗卡品、局部眼药,以及在不同时间点使用泼尼松龙或非甾体抗炎药。该犬存在持续性生化肝病变,曾通过超声检查评估,认为可能与上述药物的使用有关。
初诊体格检查仅发现左侧轻度黏液性眼分泌物和左侧黏液脓性鼻分泌物。常规血液学和血生化检查仅显示轻度、偶发性变化,包括碱性磷酸酶(ALP)升高(280 U/l)。未进行特定治疗,两周后被转诊至内科专科。
02 检查
4天后全麻下进行了头、胸、腹的增强CT(CECT)。碘海醇350 mg I/ml以2 ml/kg剂量、20秒推注。腹部静脉期图像显示胃食管连接部及胃底向后纵隔移位,而在此前/后采集的未增强腹部及增强胸部图像中,胃仍位于前腹正常位置,符合滑动型食管裂孔疝。膀胱颈部另见一局灶、明显强化结节,提示息肉或肿瘤。其余CT表现均为附带发现:双侧非破坏性鼻炎、一枚体位依赖性胆囊结石以及退行性肾囊肿和梗死。
CT后立即行鼻镜检查,见双侧鼻腔黏液积聚;黏膜活检病理证实为双侧慢性增生性中性粒细胞-浆细胞性鼻炎。
鼻镜检查后立即进行食管镜检查,可见食管括约肌呈不对称卵圆形(非圆形),局部皱缩并倾向于保持开放。患犬无慢性或间歇性胃肠道症状病史;滑动型食管裂孔疝仍被视为干呕和虚脱的可能原因。未对该疝施行特异性治疗,仅更新鼻炎的内科管理方案后出院。虽建议行透视评估胃食管反流,但最终未实施。
约3个月后,出现乱尿、高血糖及糖尿,最终被诊断为糖尿病,开始胰岛素治疗。
次年,因糖尿病性白内障在另一家专科医院接受双侧超声乳化及人工晶体植入术。术后约3个月常规复查时发现右后肢疼痛,遂转回当地兽医处进一步检查。
当地兽医的体检及后肢X线提示退行性骨关节炎急性加重,但休息与镇痛无效。复诊见右后肢严重肌肉萎缩,触诊胸腰段及右后肢疼痛,怀疑病因为神经源性。
血常规和生化显示轻度白细胞增多(19.87×10⁹/L),以中性粒细胞增多(17.25×10⁹/L)和淋巴细胞减少(0.98×10⁹/L)为特征,伴血小板减少(93×10⁹/L)。血生化示ALT升高(921 U/L)、ALP升高(2210 U/L),轻度高血糖(7.6 mmol/L)及低钾血症(3.5 mmol/L),伴脂血和溶血。
次日行腹部超声以探查肝酶升高原因,见主动脉分叉水平处一巨大、不规则、异质性囊性肿块包绕主动脉,腔内回声提示肿瘤血栓自肿块向头侧延伸至肝水平的后腔静脉。
4天后转诊至肿瘤科。体检示右后肢中度跛行及舌中部一小片溃疡。复查血常规和生化示轻度贫血伴血液浓缩(PCV/TPP=37/82),边缘低钙血症(1.24 mmol/L)、边缘低氯血症(107 mmol/L)及显著高血糖(24.1 mmol/L)。
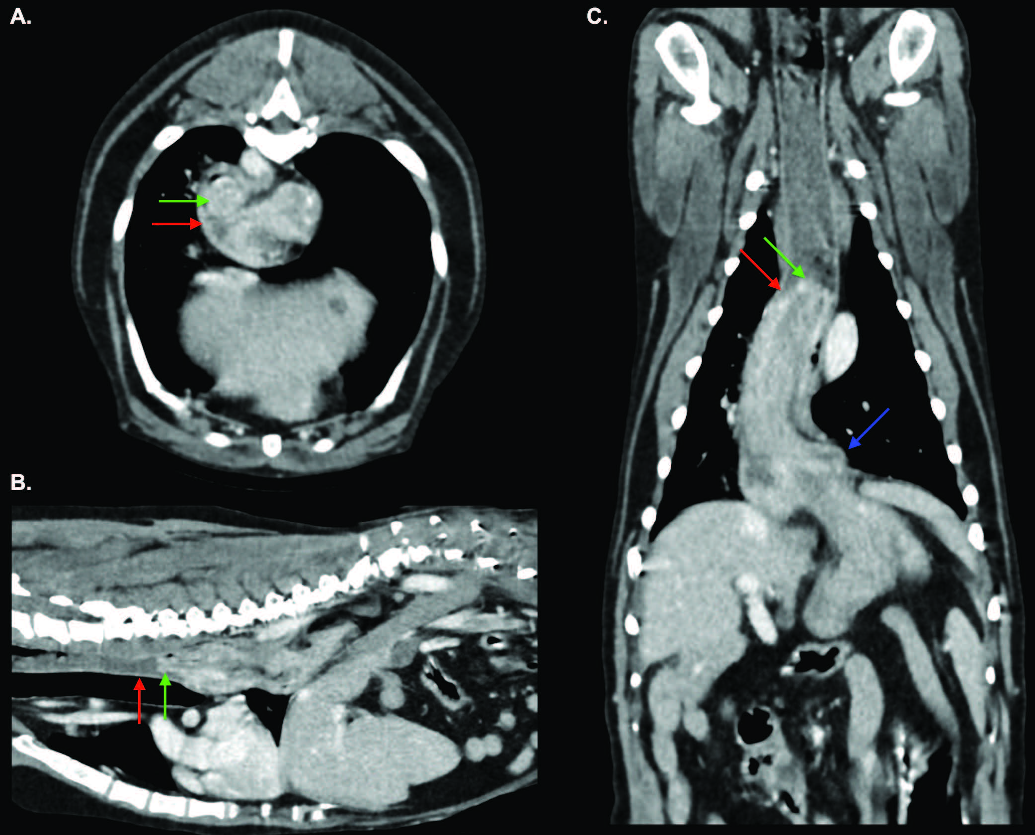
为进一步明确超声所见病变并寻找潜在转移灶,行头、胸、腹部增强CT检查。平扫示胃位置正常;静脉期增强扫描见胃底经食管裂孔向前疝入远段食管腔(图1-2)。远段食管壁部分包绕胃底,横断面呈“靶征”(图3)。食管前段含少量至中等量混杂密度液-软组织物质。延迟期图像显示胃已回纳至正常解剖位置。

图1. 静脉期横断(A)、矢状(B)与背侧(C)图像。部分胃底(绿箭头)经食管裂孔向前疝入胸段远侧食管(红箭头)。胃食管连接部(蓝箭头)位置正常。更近端胸食管被少量混杂密度、液-软组织性腔内物质轻度撑开。所见符合胃食管套叠。

图2. 检查过程中获得的胸廓和腹腔前部的背侧重建图像,分别显示平扫期(A)、静脉期(B)和延迟期(C)。在平扫期(A)和延迟期(C)图像中,胃位置正常,食管扩张不明显。在静脉期(B)图像中可见胃食管套叠,具体标注见图1。

图3. 静脉期胸段横断面图像,分别约对应T4(A)、T5(B)、T8(C)、T9(D)及T10(E)椎体水平。胃底(绿箭头)经食管裂孔向前疝入胸段远侧食管(红箭头)。注意与裂孔疝不同,远侧食管壁包绕部分胃底,形成靶样外观,提示为套叠。
腹膜后尾区见一源于右侧髂腰肌、侵袭骨质、血供丰富且局部浸润的巨大肿块,延伸至L4–L7椎体腹侧;尾侧腔静脉内见广泛腔内软组织密度充盈缺损,右后肢近端肌肉明显萎缩,分别提示肿瘤血栓及神经性萎缩。
其他附带表现:肝/胆管囊肿、慢性肾梗死、左侧肝淋巴结囊性变、变形性脊椎病、肩及膝关节骨关节炎、左甲状腺结节、右甲状腺缩小、支气管栓子(符合慢性炎症性病变)以及符合慢性炎症性鼻炎的鼻腔改变。
胃部改变符合一过性、可自行复位的胃-食管套叠(GEI)。可能为单次、自发性GEI,或由碘海醇诱发恶心、麻醉致下食管括约肌松弛或两者共同触发;亦可能为偶然捕捉到的慢性、间歇性GEI,与静脉对比剂或麻醉无关。若属后者,该套叠可为既往滑动型食管裂孔疝的进展/加重,或为一独立、并发、间歇发生的疾病实体。
在超声引导下行细针穿刺抽吸,细胞学可见单个或成簇、深染、多形性梭形细胞,胞质中等嗜碱、伴细小空泡及含铁血黄素,偶见核分裂象;核大、染色质点彩状、核仁明显,符合右侧髂腰肌血管肉瘤。
03 治疗
由于未报告胃肠道症状,且胃食管套叠已自行缓解,无需治疗。鉴于肿瘤范围及侵袭性,腰下肿块不宜手术切除,预后极差。虽讨论过多种化疗方案及姑息放疗,但主人拒绝进一步治疗。次日上午出院,继续给予眼药、胰岛素、食欲刺激剂、止吐药及镇痛。
04 预后
出院次日,主人诉其排便时出现呜咽、喘息、体表发热及后肢无力,病情恶化。
3天后,患犬在家中死亡,送至另一家24小时专科医院,未进行尸检。
05 讨论
胃食管套叠(GEI)是一种罕见但严重的疾病,指胃的一部分(通常是胃底或胃贲门)逆行进入胸腔内的食管腔中,形成套叠结构。
此病多见于年轻、大型犬,尤其是德国牧羊犬,且多为急性发作,表现为呕吐、反流、呼吸困难甚至休克,若不及时处理,死亡率极高。传统观点认为GEI是一种持续性、机械性障碍,常需紧急手术干预。
然而,近年来也有慢性或间歇性GEI的报道,表现为反复发作的胃肠道症状,如间歇性呕吐或反流,但这类病例的诊断困难,且缺乏影像学证据支持其“自发性缓解”的可能性。
GEI的发病机制尚不完全明确,可能与食管裂孔疝、巨食管、下食管括约肌松弛等解剖或功能性异常有关。
本病例在接受增强CT过程中,意外发现其胃底在短时间内自行套入食管腔,随后在延迟期图像中自行复位,整个过程无明显临床症状。这是首次通过CT影像明确记录犬只GEI自发性出现与缓解的病例,具有重要的临床意义。
该犬在首次CT检查中已被诊断为滑动性食管裂孔疝,但未出现明显胃肠道症状。时隔一年后的再次CT检查中,在静脉期图像中观察到胃底突入食管腔,形成典型的“靶征”表现,符合GEI的影像学特征。然而在延迟期中,胃已恢复至正常解剖位置,未见持续套叠或嵌顿。这一发现表明,GEI不仅可以是急性、持续性的危重症,也可能以短暂、自限性的形式存在。
此外,该病例还合并有右髂腰肌来源的血管肉瘤,并最终因肿瘤相关并发症死亡。虽然GEI未表现出临床症状,也未进行针对性治疗,但其与既往存在的食管裂孔疝之间可能存在潜在联系。作者推测,GEI的发生可能与碘对比剂诱发的恶心、麻醉引起的下食管括约肌松弛等因素有关,也可能代表一种慢性、间歇性GEI的偶然捕捉。
总之,本病例首次通过CT影像证实犬GEI可表现为一种自发性、短暂性的现象,拓展了我们对该疾病临床表现和病程的认识。尽管该犬未表现出典型的胃肠道症状,也未进行干预,但影像学证据明确支持GEI可自行缓解。这一发现为今后理解间歇性GEI与慢性胃肠道症状之间的关系提供了理论依据,也提示在临床中应提高对GEI潜在间歇性发作的认识。
此外,该病例还提示我们,GEI可能与食管裂孔疝等潜在解剖异常有关,且在某些情况下可能由对比剂或麻醉诱发。因此,在进行相关检查时,需警惕GEI的潜在发生,尤其是在存在食管结构异常的动物中。尽管本病例未观察到GEI的反复发作或慢性症状,但其为今后研究GEI的发病机制、危险因素及与慢性胃肠道疾病的关系提供了宝贵的影像学和临床资料。未来需进一步研究以明确GEI的自发性发作是否可引起临床症状,以及其与食管裂孔疝、巨食管等疾病之间的因果关系。
文献来源:White M, Lau M. Spontaneous onset and resolution of gastroesophageal intussusception during contrast-enhanced computed tomography. Open Vet J. 2025;15(10):5400-5407.