
一般情况
| 品种 | 家猫 |
| 年龄 | 8岁 |
| 性别 | 雌 |
| 是否绝育 | 是 |
| 诊断 | 食管鳞状细胞癌 |
01 主诉及病史
因持续2个月的呕吐/反流症状被转诊。
曾在私人诊所接受常规止吐治疗,但未见改善。1个月前食欲开始减退,4天前在外院行食管造影检查,怀疑食管狭窄。
02 检查
厌食且体重严重下降,仅2.6 kg(发病前超过5.0 kg)。血常规显示轻度贫血,生化检查发现低钾血症及胆红素轻度升高。
胸部X光可见食管扩张,外院造影剂残留于食管内(图1A),造影剂未进入食管远端1/3段,于膈肌上方可见约2 cm圆形肿块影。腹部X光未见异常。

图1. (A)初诊时的胸部X光片。外院食管造影使用的硫酸钡残留于食管前2/3段,造影剂未流入远端1/3,于造影中断处与膈肌之间可见圆形肿块影(箭头)。
CT检查采用静脉注射1-2 mg/kg阿法沙龙诱导麻醉,七氟烷维持,发现膈肌头侧约2.5 cm肿块,考虑源于食管,可能是食物反流的原因。增强CT显示肿块轻度强化,三维重建图像可见肿块与胃黏膜相延续(图1B)。腹部CT中,肝脏CT值明显低于胆囊,提示长期饥饿诱发肝脂肪变性。

图1. (B) 胸腔三维重建冠状位CT,近端食管腔内含有硫酸钡,远端食管肿块似乎与胃黏膜相连(箭头)。
食管内镜见肿块自黏膜突出(图1C),色白、表面无溃疡,完全阻塞管腔,镜身无法进入胃内。活检强烈提示食管鳞状细胞癌。

图1. (C) 食管内镜图像,可见白色肿瘤组织自食管壁突出并完全阻塞管腔。
03 治疗
综合影像及病理结果,与主人商议后决定放置胃造瘘管以改善营养。患猫住院并接受补液纠正低钾血症。
入院第4天,于开腹下经皮内镜胃造瘘系统置入胃造瘘管。麻醉方式同前。常规腹中线切口,找到胃后以23G针头充气使其膨胀并贴附腹壁;经体表穿刺置入导丝,确认导丝入胃后,将喂养管连接导丝并拉出体外,完成置管,手术历时40分钟。
术后苏醒,但次日出现明显黄疸,血液检查显示胆红素(4.4 mg/dl)和血氨(356 µg/dl)显著升高,提示严重肝衰竭。虽给予积极的对症支持治疗,患猫仍于住院第6天死亡。
04 病理结果
经主人同意,死后经手术切口采集胃、部分食管及肝脏病变标本进行组织病理学检查。
大体外观:肿块位于近胃贲门处食管浆膜面,呈白色(图2A)。镜下见肿瘤呈巢索状排列,偶见管样结构;细胞多为立方形基底样,核仁明显,巢中心可见角化不全(图2B)。瘤细胞具核异型及细胞异型,但核分裂象少见。肿瘤浸润食管黏膜下层并侵入贲门肌层间(图2C)。

图2. (A) 肿瘤侵及胃黏膜的大体观,于近胃贲门处黏膜可见肿瘤组织(箭头)。(B) 肿瘤组织病理学表现:大部分瘤细胞为立方形基底样,核仁明显;巢中央可见角化不全。(C) 肿瘤浸润食管黏膜下层并侵入贲门肌层之间。(D) 肿瘤组织免疫组化:细胞角蛋白5/6阳性,提示为鳞状细胞癌。
免疫组化:细胞角蛋白5/6阳性(图2D)。肝周结缔组织淋巴结内见CT未检出的转移灶。综合诊断为鳞状细胞癌;因部分肿瘤与食管黏膜相连,考虑起源于食管。
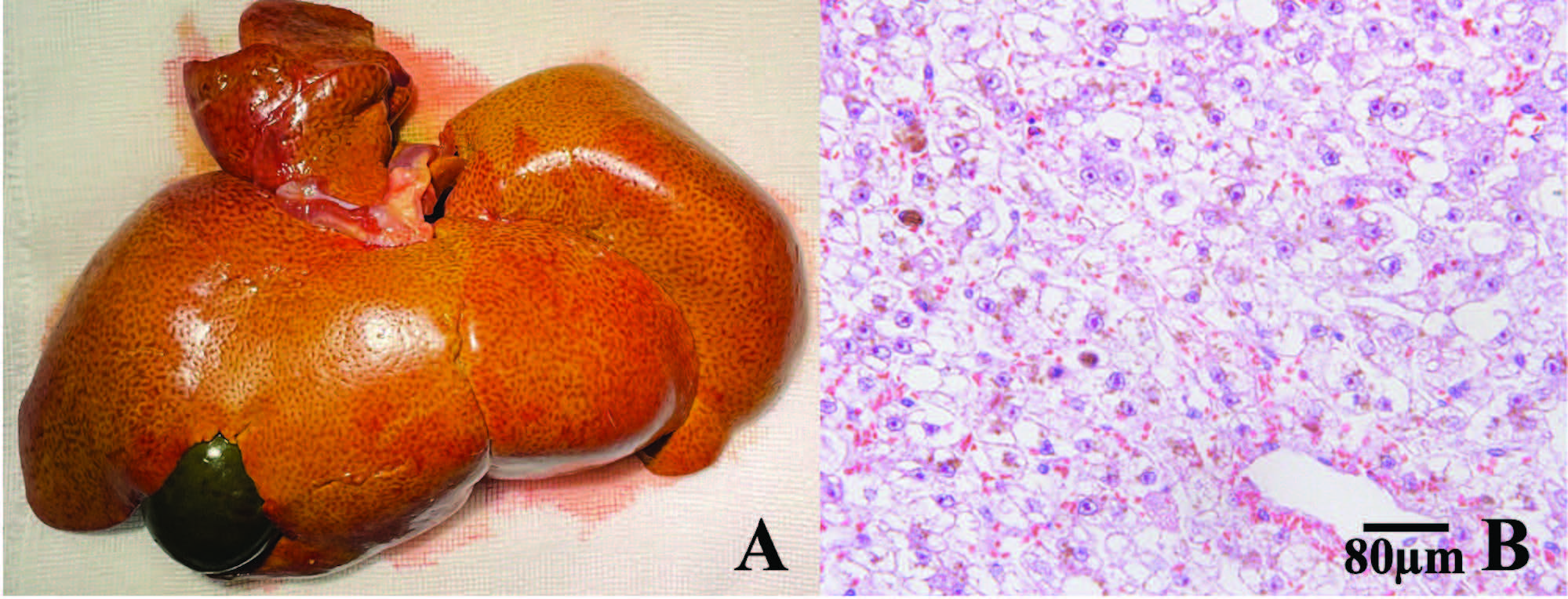
肝脏呈淡橙色(图3A)。镜下见肝小叶中心带肝细胞弥漫性胞质空泡变(图3B);空泡大或中等,单至数个,大于细胞核并将核挤向周边。向小叶周边,空泡变小且多发。约80%肝细胞含大小空泡,提示重度肝脂肪变性。

图3. 肝脏大体观(A),呈淡橙色。肝脏组织病理学表现(B):小叶中心带肝细胞弥漫性胞质空泡变,约80%肝细胞受累,符合重度肝脂肪变性。
05 讨论
猫原发性食管鳞状细胞癌(SCC)在小动物临床中极为罕见,迄今英文文献仅报道十余例。与人医不同,猫食管肿瘤仅占所有消化道肿瘤的1%左右,且几乎全部为鳞状细胞癌,好发于胸段或腹段食管。
由于早期症状仅为间歇性返流或食欲下降,极易被误诊为胃炎、毛球症或食管炎,待出现明显体重下降、流涎或呼吸困难时,肿瘤多已侵犯邻近组织或发生远处转移。
猫食管壁缺乏浆膜层,肿瘤一旦穿透肌层即可直接侵犯纵隔、肺门或胃贲门;加之食管周淋巴管网丰富,常见肝门淋巴结、肺及肾脏转移,导致手术完全切除几乎不可能,预后普遍较差。以往报道的单纯胃造口管喂养病例最长存活16周,接受食管切除者均在3天内死亡,提示目前尚无标准有效疗法。
本病例为8岁母猫,病史仅表现为返流与体重下降,初诊时被按慢性胃炎对症治疗2个月,直至出现重度恶病质方转诊。影像学发现膈前食管占位并胃贲门受侵,内镜活检证实为高分化鳞癌。
鉴于肿瘤已造成完全食管梗阻且CT未见胸腔远处病灶,治疗目标被迫降级为“经胃造口管维持营养、等待机体状态改善后考虑放化疗”。然而猫在造口术后48 h内出现急剧加深的黄疸,血氨及总胆红素分别升至356 µg/dL与4.4 mg/dL,最终死于肝衰竭。
尸检证实肝脏呈典型重度脂肪沉积,80%肝细胞见大泡性脂肪空泡,符合长期饥饿诱发的猫脂肪肝综合征。值得注意的是,CT虽未检出肝门淋巴结增大,病理却在肝周脂肪组织中发现微小转移灶,提示食管鳞癌早期即可经淋巴道播散,影像分期存在盲区。
本例治疗失败的关键在于“肿瘤-饥饿-脂肪肝”恶性循环未被及时阻断。猫对饥饿极度敏感,短至 3–5 天摄入不足即可出现显著肝脂沉积;当合并系统性炎症或肿瘤恶病质时,脂肪动员更快,肝衰风险呈指数级上升。
本猫就诊前已持续厌食4周以上,入院时肝实质密度已低于胆囊,说明脂肪肝已存在,此时任何麻醉或手术打击都可能成为压垮肝脏的“最后一根稻草”。虽在术前给予静脉补钾、糖及复合维生素,但未能先经鼻-食管管或静脉营养纠正负氮平衡即行全麻开腹,术后又无法经口刺激进食,导致肝衰不可逆。
反观文献中存活16周的案例,是在无麻醉条件下经皮内镜完成胃造口,且术后第2天即开始少量经口喂饲,保持了胆汁肠肝循环,其经验值得借鉴。
总之,对表现“顽固性返流+体重减轻”的猫,应把食管鳞癌纳入必要鉴别,建议早期联合胸片、对比食管造影、CT及内镜活检,一次完成影像+病理确诊,避免长期误诊。
一旦证实食管梗阻且无法立即切除肿瘤,应遵循“先营养、后抗癌”原则。可先放置鼻-食管管或行微创胃造口,辅以静脉脂肪乳及氨基酸,保证每日静息能量需求的60%以上,并口服熊去氧胆酸及腺苷蛋氨酸预防胆汁淤积,待肝功稳定后再考虑放疗、酪氨酸激酶抑制剂或免疫治疗。
任何麻醉、手术或化疗前,必须评估肝脏CT密度、血清胆汁酸及血氨水平;若疑重度脂肪肝,应延迟择期手术,优先采用肠内营养逆转肝脂沉积。猫食管鳞癌虽罕见,但侵袭性强、早期即转移,临床需建立多学科(影像、外科、肿瘤、营养)协作流程,才能避免“治瘤未治肝”的悲剧重演。
文献来源:Nakaichi M, Shimonaga M, Yoshizaki K, Nemoto Y, Sunahara H, Itoh H, Itamoto T, Itamoto K, Tani K. Esophageal squamous cell carcinoma invading the gastric cardia in a cat. Open Vet J. 2025 Sep;15(9):4750-4754.