
一般情况
| 品种 | 马尔济斯犬 |
| 年龄 | 13岁 |
| 性别 | 雄 |
| 是否绝育 | 是 |
| 诊断 | 胆囊平滑肌肉瘤 |
01 主诉及病史
因腹部超声发现胆囊内有分隔而被转诊。
该犬无与胆囊疾病相关的临床症状。
02 检查
体重4.77 kg。体格检查未见异常。血常规、血气分析及凝血功能均无异常。血生化显示碱性磷酸酶(573 IU/L [29–97])、天门冬氨酸氨基转移酶(101 IU/L [23–66])、γ-谷氨酰转移酶(12 IU/L [1–10])及乳酸(3.51 mmol/L [0.5–2.5])均升高。
胸腹部X线片未见异常。腹部超声可见胆囊明显扩张,胆囊颈部呈1.7 × 1.5 cm、广基、迂曲,并见一内部回声不均的团块(图1)。彩色多普勒成像显示团块内无明显血流信号。胆总管轻度扩张。腹部超声未见转移征象。因主人经济限制,术前未行CT检查。

图1. (A) 胆囊明显扩张,颈部可见回声不均的团块,胆囊壁无增厚。(B) 彩色多普勒成像显示团块内无明显血流信号。
基于影像表现,主要考虑胆囊肿瘤(如神经内分泌癌、腺癌、平滑肌瘤、腺瘤及淋巴瘤)。然而,由于超声影像特征重叠,亦需排除由胆栓或非重力依赖性胆汁淤积所致的部分肝外胆道梗阻。
03 治疗
采用吲哚菁绿近红外荧光(ICG-NIRF)成像进行胆囊切除术,并同期行肝脏活检以评估其他肝病(图2)。

图2. (A) 分离后胆囊及肿瘤(绿色虚线)的术中标准视野。(B) 肿瘤部位充盈缺损的吲哚菁绿荧光(黄色虚线)。(C) 胆道术中标准视野。(D) 胆道的吲哚菁绿荧光。(E) 切除胆囊的大体标本。(F) 使用吲哚菁绿对切除胆囊进行的近红外荧光成像。
术前给予头孢唑啉(22 mg/kg,静脉注射)、法莫替丁(1 mg/kg,静脉注射)及咪达唑仑(0.2 mg/kg,静脉注射)作为术前用药。
手术45分钟前静脉注射ICG(0.05 mg/kg)以显影胆道,未见ICG相关不良反应。以丙泊酚诱导麻醉(8 mg/kg,静脉注射),并以异氟烷维持全身麻醉。围手术期采用芬太尼持续输注(2–9 μg/kg/h)进行镇痛。
患犬仰卧,自剑突至耻骨行腹正中线切口。术中见胆囊明显扩张、胆总管轻度扩张。采用ICG-NIRF成像系统行术中胆道造影,系统由控制单元及802.5 nm近红外光源组成,光源距术野约40 cm,关闭无影灯以增强荧光效果。
ICG荧光显示胆囊肿瘤处存在部分充盈缺损,但胆总管荧光通畅,确认无梗阻后,用无菌棉签钝性分离及电凝将胆囊自肝床游离。分别用两枚不可吸收聚合物锁夹及3-0可吸收线结扎胆囊管与胆囊动脉,完整切除胆囊。
肝脏肉眼无病灶,以6 mm环钻取左外叶行常规活检,局部用可吸收明胶海绵止血。术中未见转移或浸润灶,常规关腹。
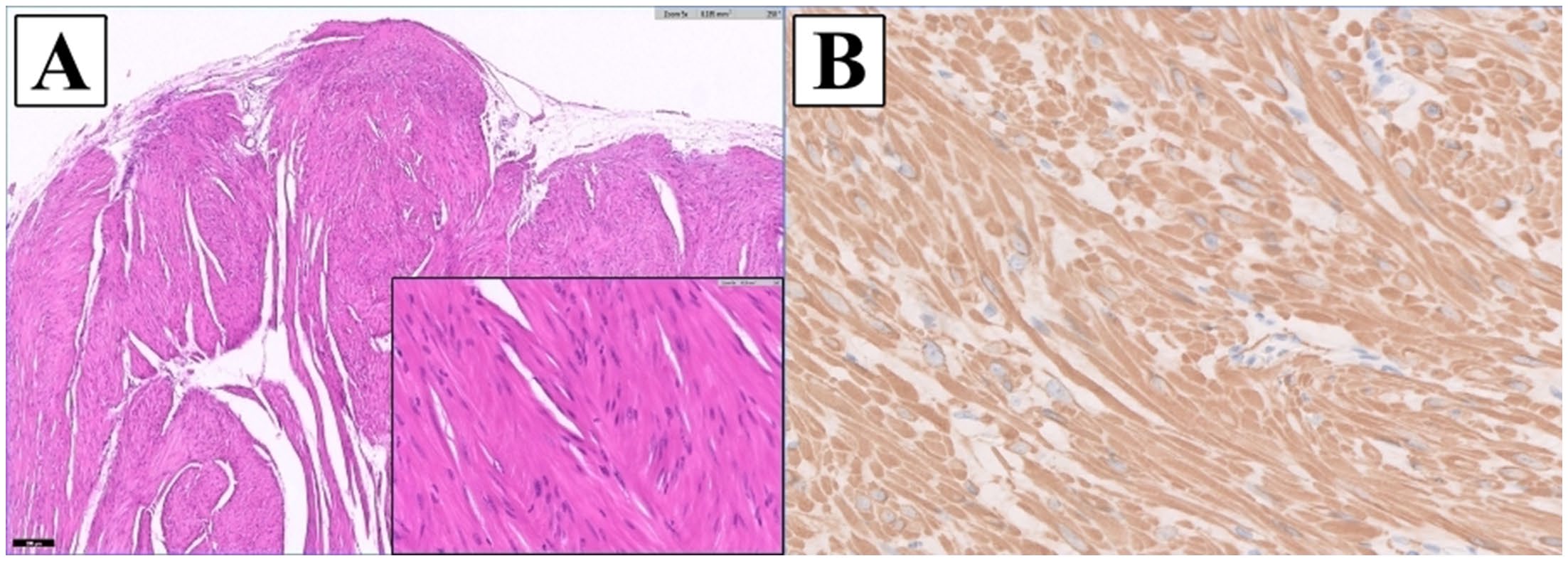
术后组织病理确诊为梭形细胞肿瘤(图3)。肿瘤无包膜、多结节、中至高密度细胞,起源于肌层,取代大部分胆囊壁,由交织束状细胞组成,细胞边界不清,胞质嗜酸性、纤维至空泡状,核卵圆至长形,染色质粗颗粒,小核仁可见;细胞丰富,浆膜面轻度浸润,偶见核分裂象。肿瘤与切缘间有薄层纤维膜,胆管切缘未见瘤细胞。免疫组化平滑肌肌动蛋白弥漫阳性,最终诊断为平滑肌肉瘤。肝活检示轻度空泡样肝病、轻-中度中央区胞浆褐色颗粒伴少量色素肉芽肿及轻度胆管增生。

图3. (A) 肿瘤由交织束状排列的梭形细胞组成,细胞边界不清,胞质呈中等量嗜酸性纤维状至空泡状,细胞核卵圆至长形,染色质粗颗粒状,可见小而不明显的核仁;可见轻度细胞大小及核大小差异。(B) 肿瘤细胞平滑肌肌动蛋白弥漫阳性,证实为平滑肌肉瘤。
04 预后
术后3天出院,无并发症。曾考虑多柔比星辅助化疗,但主人拒绝进一步治疗。此后每3个月复查胸片及腹部超声,未见局部复发或远处转移。
随访18个月时,患犬仍存活且无症状。
05 讨论
犬胆囊肿瘤在兽医临床极为罕见,占所有胆道疾病的比例不足1%。既往文献以神经内分泌癌、腺癌、腺瘤、淋巴瘤为主,而源自平滑肌的恶性间质肿瘤——胆囊平滑肌肉瘤(LMS)在全球兽医领域尚无报道。
LMS是起源于平滑肌细胞的软组织肉瘤,犬最常见原发部位依次为脾脏、胃肠道与肝脏;其生物学行为与组织学分级、有丝分裂指数及手术切缘密切相关。低级别(Ⅰ级)、有丝分裂指数<9、R0切除者预后显著优于高级别或切缘阳性病例。
人医资料显示,胆囊肉瘤仅占胆囊恶性肿瘤的1.5%,其中LMS占43%,但因早期症状隐匿,多数患者确诊时已出现局部浸润或远处转移,5年生存率仅0-21%。
本例13岁马尔济斯犬因超声偶然发现“胆囊分隔”就诊,无呕吐、黄疸等胆道梗阻表现,实验室仅见轻度肝酶与乳酸升高。超声显示胆囊颈部长径1.7 cm的广基、低血流、异质性回声团,与胆汁栓、泥沙、腺瘤或神经内分泌癌影像重叠,缺乏特异性。由于经费限制未行CT/PET-CT,术前仅能通过“胆道占位”进行鉴别。该病例提示:
- 老年小型犬出现胆囊广基、低血流团块,即使无临床症状,亦需高度警惕恶性肿瘤;
- 常规超声难以区分良恶性,若条件允许,应联合造影超声或18F-FDG PET-CT以提高间质肿瘤检出率;
- 当影像无法明确时,早期手术探查既是诊断手段,也是获得根治的唯一机会。
犬胆道解剖变异小、直径细,术中误伤总胆管是胆囊切除术最严重并发症。本例采用0.05 mg/kg吲哚菁绿(ICG)静注45 min后,在802.5 nm近红外光激发下实时成像:肿瘤区呈“充盈缺损”,而总胆管荧光通畅,证明胆汁可通过乳头部,避免了额外胆道探查或T管置入。
ICG-NIRF可在Calot三角解剖前即显示胆管走行,人类报道可视化率由86.5%提升至96.5%,显著降低医源性胆管损伤。犬领域尚处起步阶段,本研究首次将其用于胆囊恶性肿瘤手术,证实:
- ICG 0.05 mg/kg方案安全,无过敏、低血压等不良反应;
- 可在术中即时评估胆道通畅性,缩短手术时间;
- “充盈缺损”间接提示瘤体致胆囊颈部分梗阻,为术者确定切除范围提供依据。
未来需扩大样本,探索基于ICG-EPR效应对肿瘤边界的显影潜力,以指导更精确的R0切除。
本例术后病理:低细胞密度、罕见核分裂象(1/2.37 mm²)、无坏死,免疫组化SMA弥漫阳性,证实为低级别LMS;切缘未见肿瘤细胞,达到R0切除。
随访18个月无复发、无远处转移,与文献中“低级别+R0”组良好预后相符。值得注意的是,脾脏与胃肠道LMS中位生存期约10个月,而本例已达18个月且仍存活,提示:
- 胆囊原发LMS若早期发现、完整切除,可获得更长生存;
- 有丝分裂指数与切缘状态仍是独立预后指标,术中快速病理评估切缘价值大;
- 因病例稀少,术后是否辅以阿霉素等化疗尚无共识,本例因主人拒绝未行化疗,但仍未复发,说明对于低级别R0病例,密切随访可能是合理选择。
总之,本研究首次报道犬原发性胆囊平滑肌肉瘤,填补了兽医胆道间质肿瘤空白。临床实践中,面对老年犬胆囊广基、低血流团块,应将LMS纳入鉴别诊断,尽早手术探查。ICG-NIRF可在术中实时勾勒胆道解剖、判断通畅性,减少并发症,是安全可行的辅助技术。低组织学分级与R0切除是获得长期生存的关键。未来需建立多中心回顾或前瞻性研究,明确犬胆囊LMS的分子特征、最佳药物方案及ICG显影标准化流程,为罕见胆道肿瘤提供循证医学证据。
文献来源:Yun J, Kim Y, Park KM, Lee S. Case Report: Primary leiomyosarcoma of the canine gallbladder with intraoperative indocyanine green near-infrared fluorescence imaging. Front Vet Sci. 2025 Oct 24;12:1678285.